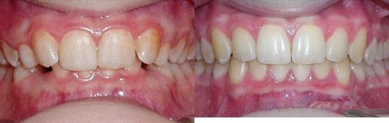
Before and After

Incredible results and inspiring journeys; see some of our patients' before and after photos next time you visit our practice.

  • Smiles!
  • Smiles!
  • Smiles!
  • Smiles!
  • Smiles!
  • Smiles!
  • Smiles!
R Logo icon Back to Top
facebook pixel