Digital X-rays

Digital Xrays

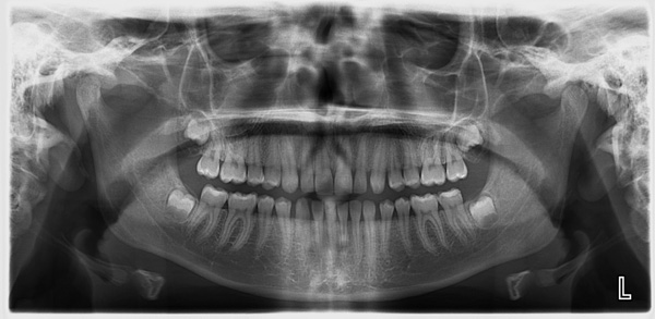
Using the most advanced orthodontic technology possible is just as important as staying up-to-date on the latest treatment techniques. Because our practice is dedicated to providing you with the safest and most convenient treatment options available, we utilize advanced digital X-ray technology in our office.

Digital X-rays provide several advanced imaging options designed to save time, provide clearer dental photos, and expose patients to less radiation than traditional X-ray technology.

Our practice is focused on making your orthodontic experience as comfortable as possible. At your next appointment, we'll be happy to answer any questions you may have.

R Logo icon Back to Top
facebook pixel